Working Time
| Mon-Sun |
| Morning 09:00 AM- 02:00 PM |
| Evening 05:00 PM - 09:00 PM |
| Wednesday Closed |
Contact Info
-
Phone: 91 7275123453
9450092967 - shagundentalcare@gmail.com
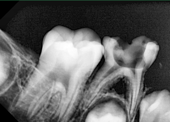
X-ray ( RVG )
The RadioVisioGraphy (RVG) imaging system1 commonly used in dentistry to take intraoral periapical radiographs features the latest innovations in digital radiography, delivering the highest image resolution (> 20 LP/mm). RVG consists of a sensor, monitor, and microcomputer components
Why X-ray ( RVG ) Are Important
Advantages. This sensor reduces X-ray exposure time when used for dental imaging. Compared to X-ray radiology methods, the RVG sensor reduces the patient's exposer to X-ray radiations by 80 percentage. Use of this sensor helps the doctor to get instant results and decrease the waiting time of the patients.
The Procedure of X-ray ( RVG )
The RadioVisioGraphy (RVG) imaging system1 commonly used in dentistry to take intraoral periapical radiographs features the latest innovations in digital radiography, delivering the highest image resolution (> 20 LP/mm). RVG consists of a sensor, monitor, and microcomputer components .
